Key messages
- There is not a significant association between dental fluorosis and the use of infant formula.
- It is safe to reconstitute infant formula with optimally fluoridated drinking water.
- Dental fluorosis is not a major public health issue in Australia.
- The biggest risk factor for dental fluorosis is inappropriate use of fluoridated toothpaste in young children, not the use of fluoridated water to reconstitute infant formula.
This page provides balanced, evidence-based information about infants and fluoride ingestion. It has been prepared by the Department of Health and Human Services in collaboration with the Department of Dentistry at the Royal Children’s Hospital, the Office for Children at the Department of Education and Early Childhood Development, Dental Health Services Victoria, Melbourne Dental School at the University of Melbourne and the Australian Dental Association Victorian Branch Inc.
Dental fluorosis and infant feeding
In 2006, the Australian Research Centre for Population Oral Health (ARCPOH) developed Australian fluoride guidelines with experts from universities, health departments and health organisations. One of the guidelines states ‘infant formula nowadays is safe for consumption by infants when reconstituted using fluoridated or non-fluoridated water’. These guidelines were reviewed at a consensus workshop in August 2012 using the latest evidence and amended accordingly.
Dental fluorosis in Australia has decreased significantly since 1990 (1, 2, 3). This is mainly due to the use of low-fluoride toothpastes for young children and greater awareness of correct toothpaste use for children (4). In Australia, if dental fluorosis does occur, it is usually very mild or mild (5).
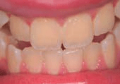
Figures 1 and 2 show cases of mild dental fluorosis (pictures provided by Dr Wendell Evans and Dr Ikreet Bal, the University of Sydney).
Figure 1: Very mild dental fluorosis along the lower edge of the upper front teeth
Figure 2: Mild dental fluorosis predominantly on the upper and outer thirds of the upper front teeth
Breastfeeding is the preferred way to feed infants and provides perfect nutrition to match an infant’s needs. It helps protect against infection and other illnesses (6). Although breastfeeding is the best feeding choice for babies, infant formula is an alternative when breastfeeding is not an option (7).
Studies show that there is no increased risk of dental fluorosis if infants are given infant formula, regardless of whether the water used to reconstitute the formula is fluoridated (2, 3).
Minimising dental fluorosis
Unless otherwise advised by a health professional, minimise dental fluorosis by (1):
- discouraging children from swallowing toothpaste
- before they are 18 months old, cleaning children’s teeth with water and no toothpaste
- between the ages of 18 months and 5 years (inclusive), using only a pea-sized amount of low-fluoride children’s toothpaste smeared across the toothbrush
- not using fluoride drops or tablets
- only using fluoride mouth rinses with children 6 years or older.
Permanent tooth development
Permanent teeth develop in the jaw bones before coming into the mouth. This usually starts at the age of around 3 or 4 months, but can occur earlier or later.
Most children develop their front teeth in the first year of life.
Dental decay
Dental decay is a tooth disease caused by acid-producing mouth bacteria. Dental decay is Australia’s most prevalent health problem and is the second-most costly diet-related disease in Australia, with an economic impact comparable to heart disease and diabetes (8).
Dental decay can be painful and expensive to treat. Across Victoria in 2013–14, more than 4,400 children under the age of 10 needed a general anaesthetic to treat their dental decay.
Figures 3 and 4 show cases of dental decay in baby and adult teeth.
Figure 3: Significant dental decay in baby teeth
Figure 4: Dental decay in adult teeth
Research summary
Australia
National Health and Medical Research Council
In 2006, the National Health and Medical Research Council (NHMRC), in partnership with the New Zealand Ministry of Health, published The nutrient reference values for Australia and New Zealand (9). This document recommends an adequate intake of fluoride of 0.01 mg/day for infants under 6 months, and an upper level of 0.7 mg/day.
Infants who are only fed formula reconstituted with fluoridated water might consume slightly more fluoride than the recommended upper level. However, Australian research shows that there is no significant association between infant formula and dental fluorosis, even when reconstituted with fluoridated water (3).
Food Standards Australia New Zealand
In 2009, Food Standards Australia New Zealand (FSANZ) assessed the issue of some children exceeding the upper level for fluoride (10). It found that this was not a health risk or a safety concern because the upper level was based on moderate fluorosis, and this condition is rare in Australia.
Infant formulas sold in Australia generally contain very low amounts of fluoride (1). The Australia New Zealand Food Standards Code states that infant formula containing more than 17 micrograms of fluoride per 100 kilojoules of powder must include a warning about dental fluorosis on the label (11). This warning was developed based on the assumption that fluoridated water would be used to reconstitute the formula (12).
American Dental Association
In 2011, the American Dental Association advised that infant formula could be reconstituted with either optimally fluoridated water or fluoride-free water (13).
References
- Australian Research Centre for Population Oral Health 2006, ‘The use of fluorides in Australia: guidelines’, Australian Dental Journal, vol. 51, no. 2, pp. 195–199.
- Riordan P 2002, ‘Dental fluorosis decline after changes to supplement and toothpaste regimens’, Community Dentistry and Oral Epidemiology, vol. 30, pp. 233–240.
- Do L, Spencer A 2007, ‘Decline in the prevalence of dental fluorosis among South Australian children’, Community Dentistry and Oral Epidemiology, vol. 35, pp. 282–291.
- Spencer A, Slade G 2005, ‘A rationale for the appropriate use of fluorides’. Paper presented at the Workshop on the Use of Fluorides in Australia, The Australian Research Centre for Population Oral Health, Adelaide.
- Department of Human Services 2007, Water fluoridation information for health professionals, State Government of Victoria, Melbourne.
- Better Health Channel 2010, Information on breastfeeding.
- Better Health Channel 2010, Information on bottle feeding.
- Australian Health Ministers’ Conference 2004, Healthy mouths healthy lives: Australia’s National Oral Health Plan 2004–2013, Government of South Australia on behalf of the Australian Health Ministers’ Conference, Adelaide.
- National Health and Medical Research Council, New Zealand Ministry of Health 2006, Nutrient reference values for Australia and New Zealand.
- Food Standards Australia New Zealand 2009, Final assessment report, application A588, Voluntary addition of fluoride to packaged water, Food Standards Australia New Zealand, Canberra.
- Food Standards Australia New Zealand 2007, Australia New Zealand Food Standards Code, Food Standards Australia New Zealand, Canberra.
- Food Standards Australia New Zealand 2002, Review of infant formula, Food Standards Australia New Zealand, Canberra.
- American Dental Association 2011. Scientific panels issue evidence-based clinical recommendations on use of fluoridated water with infant formula, prescribing fluoride supplements.
Updated

